New Patient Offer, Book Now!

Read More Next

New year, new smile! Take advantage of 50% off a New Patient appointment at Blossomfield Dental Care and start the year smiling.

New Patient Appointment now £49 (usually £98)

Offer ends 31/05/2026

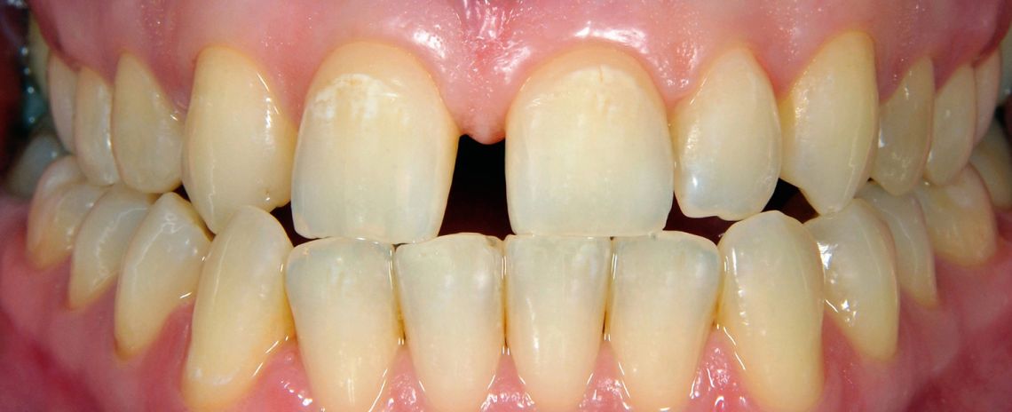
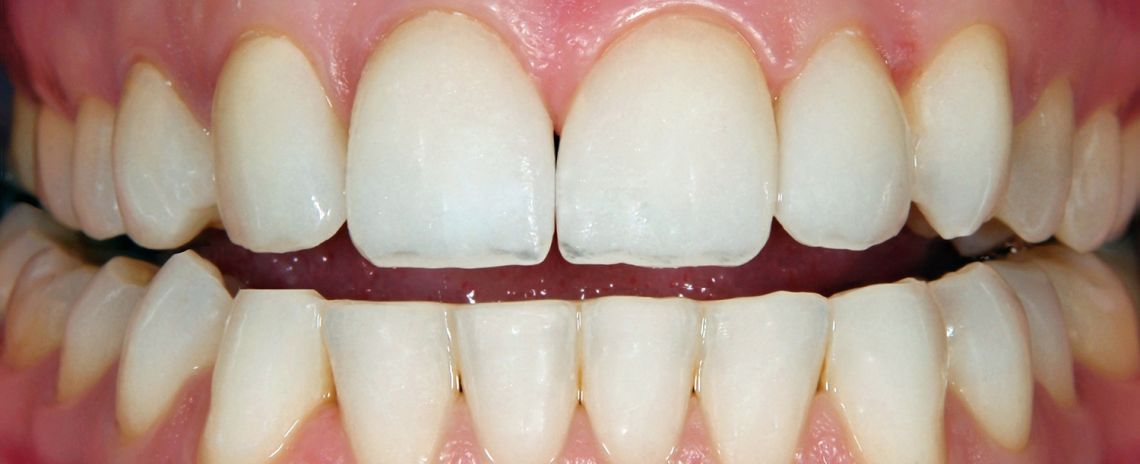
Teeth whitening

Whitening will not change the colour of your teeth completely but will lighten the shade, without removing any of the tooth surface. It is a safe procedure when carried out under professional supervision. Results last indefinitely. Just simply touch up your teeth with whitening gel every few years. Sometimes without a touch up, your teeth will start to re-stain by the same things that caused them to discolour in the first place.

It may be necessary to have other dental treatments prior to whitening, as whitening treatments can only be applied to healthy teeth and gums. A visit to the dental hygienist is also recommended prior to whitening treatment, to give the teeth a thorough cleaning and remove any surface stains. When considering teeth whitening it is important to know that it will not change the colour of a restoration. If you are considering whitening discuss this with your dentist as restorations such as crowns, bridges and fillings can be changed to lighter shades to match your whitened colour. 

At Blossomfield Dental Care we use simple and safe home whitening systems. After checking your dental health, your dentist will take an impression to custom make dental trays that fit snuggly to your teeth. Once your trays are ready, your dentist will give you whitening gel and provide guidance on how to apply this at home, along with the required length of treatment in order to see your personal results. It may take between 3 days and a couple of weeks to see results, depending on your original discolouration and preferred shade.

Temporary sensitivity can affect some patients. If sensitivity is present, wear times should be shortened or made less frequent. Additionally, desensitizing toothpastes, gels, or mouthwashes can be used before or after the whitening process.

Call us on 0121 711 6939 to book a consultation and discuss your smile makeover options.

Meet the team

Marek Skalka

Clinical Director

GDC NO. 60625

Aslan Pervez

Dentist

GDC NO. 267369

Sadhvik (Vik) Vijay

Dentist

GDC NO. 258868

Previous
Next
Patient Reviews

People are talking about us

The biggest compliment we receive is when our patients refer their friends and family to Blossomfield Dental Care. In fact, we have built much of our practice on these valued, trusted recommendations over the years. 

As a thank you for your recommendation, we would like to reward you with a £25 M&S voucher for every patient you recommend to us. Your voucher will be sent to you once your friend or family member has attended their first appointment. 

Patient reviews

1352 Reviews

5.0

24th April 2026

Professional, friendly courteous dentist

24th April 2026

As usual my treatment was carried out with full professional care and attention

24th April 2026

Having received treatment from Dr. Skalka for many years I am confident that I will get excellent treatment, considered options, careful execution of treatment with thought to make it as painless as possible and a feeling that my general health is taken into consideration at all times.I am well informed at every stage and over the years there have been points for consideration which the comprehensive info has been a great help and thus the right decisions have been made.My experiences with the hygienists have been very good and I am always fascinated by the advances in technology which appears at every visit.

23rd April 2026

Staff really friendly and professional. Answered all my questions. Did not rush my appointment

22nd April 2026

I have been seeing marek for many years and he has always looked after me from a child . I would not see anyone else he takes time to ask about me as a person and takes time to explain everything and makes sure I am comfortable . I hope he never retires.

17th April 2026

I was given an appt within 24 hours of requesting it. I knew what was needed. My dentist did more than I expected on order to stop a problem developing. Excellent help from everyone.

16th April 2026

It's always a relaxed and welcoming atmosphere that put the patient at ease upon enetring the practice. I also highly rate my dentist as very professional and friendly.The fact that music is playing all over the practice also helps (in my opinion) to make people feel relaxed.

15th April 2026

I was made to feel that my treatment was very important

7th April 2026

Easy, no issues, everything went smoothly.

5th April 2026

I have been a patient for many years and have built up trust which is important to me. A great friendly team

4th April 2026

The team have continuously made my dental journey feel amazing throughout.

4th April 2026

All staff are very welcoming, make you feel valued and treat you with respect. I called in to make an appointment thinking that I had chipped my tooth. I was asked to wait and was sent about 10 minutes later by my regular dentist Vic. Who reassured me about my tooth. I couldn't have asked for more.

3rd April 2026

Very professional but also friendly and courteous. I have been a patient for many years.

3rd April 2026

Prompt attention, Hygiene on time and very thorough, followed by examination by Marek, again prompt, courteous and thorough. Standard of care extremely high. Very satisfield.

1st April 2026

The Practice Manager is incredibly helpful and I appreciated the warm welcome from the reception team too. Marek always explains everything he is doing and the reasons behind my treatment plan, and as a very anxious patient, he is calm, considerate and puts me at ease.

1st April 2026

Hannah was lovely, I didn't like the new 'water treatment' as I kept gagging, so she reverted to the old clean and polish which worked for me. I am having this treatment every four months so I don't have to be in the chair too long.

AP

Ayesha Pervez

I have been to Blossomfield dental clinic many times and every experience has been great. I am attended to quickly and ensured I feel comfortable throughout the dental procedure by my dentist Aslan and his nurse Jess, they’re very kind. I haven’t had any problems following my appointments and am really well informed on the aftercare of my teeth. Would recommend.

VM

Vittoria Morace

Have my annual check up and cleaning for two years now, overall great experience. Highly recommend.

JP

Jibran Pervez

I had a great experience at Blossomfield Dental Clinic. The whole team made me feel welcome from the moment I arrived. Jess has been absolutely lovely and . I was treated by Aslan, who was very professional throughout.

LR

Leena Raichura

Aslan has been looking after my teeth for years! A through and through professional who makes you feel at ease too!

Prev Previous
Next Next